2026-01-29
For children and adults living with pectus excavatum (funnel chest) or pectus carinatum (pigeon chest), the condition is far more than a cosmetic concern. It can affect breathing, stamina, and self-confidence, imposing both a physical and emotional burden. However, modern surgical techniques now offer not just correction, but transformation. The following five successful cases, all performed by the surgical team led by Chief Surgeon Dr. Li Guoqing, illustrate how personalized, expert care can renew lives. Each patient received a tailored surgical plan, and each achieved an excellent functional and aesthetic outcome.
Case 1:
Patient: An active 11-year-old boy.
Challenge: He was diagnosed with significant, classic pectus excavatum. His chest had a deep, U-shaped depression that was visibly asymmetric. Imaging scans confirmed cardiac compression, which could limit his physical activity and future development.

Surgical Approach: Pectus surgery uniquely blends science and art. The goals are twofold: to relieve pressure on the heart and lungs (functional correction) and to restore a natural, aesthetic chest contour.


Solution & Outcome: Using advanced pre-contoured pectus bars that require no flipping during implantation, our team performed a minimally invasive correction. The procedure successfully elevated the sternum, relieved cardiac compression, and restored a symmetrical, normal chest shape. He has since returned to sports with renewed confidence and no physical restrictions.
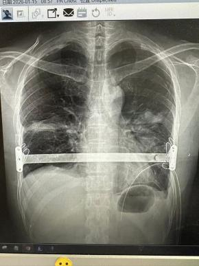
Case 2:
Patient: A teenager with a severe combined chest wall deformity.
Challenge: This was a complex case of mixed pectus carinatum and excavatum, accompanied by severe rib flaring. The chest wall was profoundly distorted. Traditional one-step methods often fail in such cases: pressing down the pigeon chest may worsen flared ribs, while pulling in the ribs can exaggerate the pigeon chest—a surgical dilemma.

Innovative Solution: Chief Surgeon Dr. Li Guoqing employed a novel “sandwich” technique. In one operation, two custom-shaped bars were placed: one behind the sternum to lift the funnel chest depression, and another in front to gently depress the pigeon chest prominence. This simultaneous “push-and-pull” strategy addressed all deformity components at once.

Outcome: The transformation was remarkable. The patient’s chest achieved a harmonious, natural contour. This case highlights how innovative thinking can solve even the most challenging anatomical puzzles, offering hope where conventional options fall short.

Case 3:
Patient: A young adult with long-standing, severe pectus excavatum.
Challenge: The patient had lived with a deep chest depression for years, which caused self-consciousness and occasional shortness of breath during exertion.

Priority: In addition to effective correction, the patient strongly desired a minimally invasive approach with the smallest possible scars.
Solution & Outcome: Through small, strategically placed incisions on the sides of the chest, our team performed a precise correction using the latest techniques. The profound depression was fully elevated, and thanks to the minimally invasive approach, recovery was swift, with only very small, discreet scars remaining. The patient gained not only a normal chest contour but also the confidence to wear what they wished.

Case 4:
Patient: A 37-year-old man.
Challenge: Years earlier, he had undergone pectus surgery at another institution that failed to correct the deformity, leaving him with ongoing pain and disappointment. Revision surgery is notably more complex due to existing scar tissue and altered anatomy.

Solution: Dr. Li Guoqing carefully analyzed the previous surgery and developed a new plan. He performed a revision procedure, skillfully navigating scarred tissue to place a single, strategically positioned bar.
Outcome: The surgery was a complete success, finally delivering the correction the patient had long sought. This case underscores that excellent results are possible even after prior unsuccessful surgery—when performed by an experienced specialist.

Case 5: The Teenage Transformation – Single-Bar Correction for Severe Funnel Chest
Patient: A 17-year-old adolescent.
Challenge: He had a deep, symmetric pectus excavatum that became more pronounced during his adolescent growth spurt, affecting his posture and willingness to participate in activities like swimming.

Surgical Precision: Despite the severity, detailed CT-based planning indicated that a single, expertly placed and contoured pectus bar would suffice to achieve an ideal lift.
Outcome: The surgery proceeded exactly as planned. The single bar provided perfect, stable correction. The patient healed quickly and was thrilled with his new profile—demonstrating how a targeted, precise approach can deliver life-changing results with maximum efficiency.
International Patient Dedicated Service Channel
Director Li Guoqing's team is committed to providing comprehensive, patient-centered cross-border medical care to individuals and families worldwide. We understand the unique challenges faced by international patients and have designed our services to ensure a seamless, supported journey from consultation to recovery.
Our services include:
Preoperative Remote Consultation: Begin your journey with an online medical record review and preliminary treatment plan discussion from the comfort of your home.
One-Stop Entry & Logistics Support: Receive dedicated assistance with medical visa invitations, airport transfers, local accommodation recommendations, and in-hospital translation services.
Efficient In-Hospital Workflow: We streamline appointments and examinations to significantly reduce waiting times for our international patients.
Multilingual Communication: Our team provides clear English support at every stage to ensure accurate, error-free communication between you and your medical team.
Postoperative Global Follow-Up: We establish personalized rehabilitation records and provide continuous recovery guidance via online platforms, ensuring you are supported and your long-term outcomes are tracked no matter where you are in the world.
If you or a loved one is navigating pectus excavatum—whether seeking initial treatment or managing a complex or recurrent case—Director Li Guoqing's team is here to provide the most professional evaluation and a truly individualized treatment pathway.