Jabatan:
Direktur Pusat Diagnosis dan Perawatan Presisi Onkologi Medis Foshan Chancheng
Gelar:
Kepala Dokter
Apa itu Kanker Kandung Kemih?
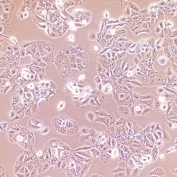
Kanker kandung kemih adalah pertumbuhan sel secara berlebihan yang tidak normal dan bersifat ganas di dalam kandung kemih. Pertumbuhan ini paling sering terjadi pada lapisan mukosa bagian dalam kandung kemih, yang dilapisi oleh epitel transisional, juga dikenal sebagai urotelium (urothelial cells).
Kanker yang berasal dari sel ini disebut karsinoma urotelial, dan jenis ini menyumbang sekitar 90%–95% dari seluruh kasus kanker kandung kemih, sehingga menjadi tipe yang paling umum ditemukan.

Apakah Anda mengetahui Fakta Kanker Kandung Kemih di Indonesia?
1. Angka kasus terus meningkat
Peringkat global: Indonesia menempati peringkat ke-15 dunia untuk insiden kanker kandung kemih, dan peringkat ke-13 untuk angka kematian (data tahun 2022).
Kasus baru: Pada tahun 2022, terdapat sekitar 7.381 kasus baru dan 3.207 kematian akibat kanker kandung kemih, dengan tingkat kematian mencapai 43,4%.
Laju Pertumbuhan Kanker: Dalam 10 tahun terakhir, tingkat pertumbuhan penyakit ganas di Indonesia mencapai 8% per tahun. Sebagai salah satu tumor paling umum pada sistem urogenital, kanker kandung kemih menunjukkan laju pertumbuhan yang secara signifikan lebih tinggi dibandingkan beberapa negara di kawasan Asia Tenggara.

2. Distribusi kasus berdasarkan jenis kelamin dan usia
Didominasi pria: Insidensi kanker kandung kemih pada pria lebih dari tiga kali lipat dibandingkan wanita, yang secara langsung terkait dengan tingginya prevalensi merokok pada pria di seluruh dunia (di Indonesia, lebih dari 65% pria adalah perokok aktif).
Kelompok usia dengan resiko tinggi: Penduduk berusia di atas 50 tahun mendominasi kasus kanker kandung kemih (lebih dari 70%), namun kasus pada usia muda (misalnya pada pasien berusia 32 tahun) semakin bertambah setiap tahun akibat keterlambatan diagnosis.
