What is Nasopharyngeal Carcinoma?
Nasopharyngeal carcinoma (NPC) is a malignant epithelial tumor originating from the mucosal lining of the nasopharynx, primarily occurring in the roof and lateral walls of the nasopharynx, particularly the pharyngeal recess. Causes of NPC include Epstein-Barr virus (EBV) infection, genetic factors, and environmental factors. Certain unhealthy habits, such as heavy smoking and consumption of salted and preserved foods, may also contribute to its development. Enlarged cervical lymph nodes are often the first symptom. Southern China and Southeast Asian countries are high-incidence regions for this disease.

What are the Clinical Manifestations of Nasopharyngeal Carcinoma?
1. Blood-Stained Nasal Discharge and Nosebleeds: For lesions located on the posterior wall of the nasopharyngeal roof, forcefully sniffing back nasal or nasopharyngeal secretions can cause minor blood-streaked discharge (blood in the "phlegm" when sniffing back) or, in severe cases, lead to nosebleeds.
2. Ear Symptoms: When the tumor is in the pharyngeal recess or near the torus tubarius, tumor infiltration can compress the pharyngeal opening of the Eustachian tube, causing symptoms and signs of secretory otitis media: tinnitus, hearing loss, etc.
3. Nasal Symptoms: Infiltration of the primary cancer into the posterior nasal aperture area can cause obstruction. Tumors located on the anterosuperior wall of the nasopharynx are more likely to cause nasal congestion. Nasal congestion is present in 15.9% of cases as an initial symptom, rising to 48.0% at diagnosis.
4. Headache: This is a common symptom, often clinically presenting as unilateral and persistent pain, typically located in the temporal or parietal region.
5. Ocular Symptoms: Involvement of the orbit or nerves related to eye movement indicates advanced disease, often causing: visual impairment (potentially blindness), visual field defects, diplopia (double vision), exophthalmos (protruding eye), restricted eye movement, and neuroparalytic keratitis. Optic nerve atrophy or edema may be seen on fundoscopic examination.
6. Cranial Nerve Palsy: During its spread to surrounding areas, NPC frequently affects the trigeminal, abducens, glossopharyngeal, and hypoglossal nerves, while the olfactory, facial, and acoustic nerves are less commonly involved.
7. Cervical Lymph Node Metastasis: Enlarged neck lymph nodes are typically painless, hard, and mobile in early stages. In advanced stages, they may become fixed due to adhesion to the skin or deep tissues.
8. Distant Metastasis: In rare cases, distant metastasis is the chief complaint at the first visit.
How is Nasopharyngeal Carcinoma Routinely Diagnosed?

1. Indirect Nasopharyngoscopy: If a raised area or new growth is observed on the roof of the nasopharynx or in the pharyngeal recess, NPC is suspected, and further investigation is required.
2. EBV Antibody Serology: The development of NPC is closely associated with EBV infection. In China, over 95% of NPC patients are associated with EBV infection. Therefore, detecting EBV antibodies in the blood can be used for screening. Over 90% of NPC patients test positive for VCA-IgA and EA-IgA antibodies, whereas over 90% of healthy individuals test negative for these markers.
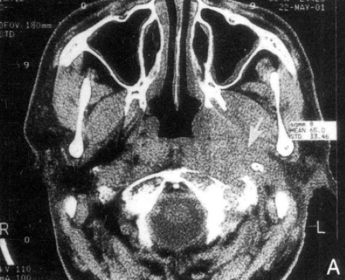
3. Nasopharyngeal MRI (Magnetic Resonance Imaging): The nasopharynx has a concealed location, making it sometimes difficult to examine thoroughly by routine physical examination. MRI can probe the detailed condition of the nasopharyngeal cavity and surrounding tissues, aiding in detecting the presence of a tumor.
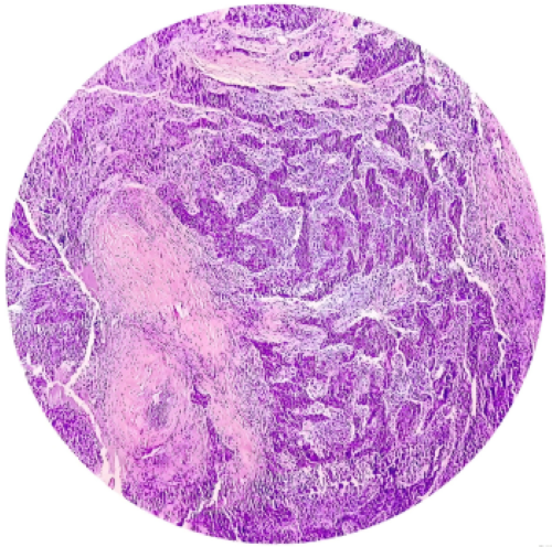
4. Fiberoptic Nasopharyngoscopy and Histological Biopsy: Fiberoptic nasopharyngoscopy allows for detailed, multi-angle observation of the nasopharyngeal mucosa. If a suspicious lesion is found, a small forceps can be inserted simultaneously to take a tissue biopsy from the site. Pathological examination of the biopsied tissue under a microscope provides a definitive diagnosis.
What are the Advantageous Treatment Options for NPC at Fosun Health?
Radiotherapy is the primary treatment choice for NPC, as most cases are moderately sensitive to it. However, for more highly differentiated carcinomas, advanced-stage disease, and cases of recurrence after radiotherapy, surgical resection and chemotherapy are also indispensable approaches.

1. Radiotherapy ± Chemotherapy
o Radiotherapy is indicated for all NPC patients unless there are clear contraindications. Depending on the patient's specific condition, either curative radiotherapy or palliative radiotherapy (aimed at relieving suffering, improving symptoms, and prolonging life in patients with advanced malignancy) is chosen.
o Newly diagnosed patients without metastasis are generally suitable for curative radiotherapy or radiotherapy combined with chemotherapy.
o For newly diagnosed patients with distant organ metastasis, chemotherapy should be initiated first to control the metastatic lesions. If control of metastases is achieved, local radiotherapy may also be considered.
o Patients with local recurrence after primary radiotherapy may undergo a second course of radiotherapy, typically requiring an interval of at least one year from the initial radiotherapy.
o For patients with distant metastases experiencing local symptoms like bone pain that respond poorly to chemotherapy, palliative radiotherapy targeting the metastatic lesions for symptom relief can be considered.
2. Surgery
o Indications:
§ Localized lesions in the nasopharynx that persist or recur after radiotherapy.
§ Isolated, mobile metastatic cervical lymph nodes that persist after radiotherapy, provided the primary nasopharyngeal lesion is controlled. In such cases, neck dissection may be performed.