2025-09-28
Gliomas, the most common type of malignant brain tumor, remain one of the greatest challenges in neurosurgery. Due to their deep-seated location and poorly defined boundaries with surrounding healthy brain tissue, treatment is fraught with dilemmas. Conventional surgical resection often faces a trade-off: incomplete removal increases the risk of recurrence, while aggressive resection risks permanent neurological deficits. Standard radiotherapy, on the other hand, lacks sufficient precision and can damage nearby healthy brain tissue.
In recent years, the emergence of CyberKnife radiosurgery has offered new hope. With its hallmark features of "precise ablation and minimally invasive protection," CyberKnife brings new opportunities for patients with gliomas.
Advantages of CyberKnife
CyberKnife is not a traditional “knife” but a robotic stereotactic radiosurgery system. By integrating advanced imaging guidance, real-time tumor tracking, and robotic delivery, it delivers highly focused radiation to intracranial lesions. Its core advantages include:
1. High precision – Real-time image guidance and robotic targeting achieve sub-millimeter accuracy (<1 mm). This makes it especially suitable for tumors near critical brain structures such as the brainstem and optic nerves, minimizing collateral damage.
2. Minimally invasive – No craniotomy is required. CyberKnife is particularly beneficial for patients who are inoperable or have recurrent tumors, and it poses less risk for elderly or medically frail patients.
3. Proven short-term efficacy – Studies show that for low-grade gliomas (WHO grade I–II) or localized recurrences, CyberKnife can achieve a tumor control rate of 70–85% within 1–2 years, with significant symptom relief.
Clinical Applications of CyberKnife in Gliomas
While CyberKnife is not a "one-size-fits-all" solution, it plays a pivotal role in various stages of glioma management and serves as a vital component of multidisciplinary treatment strategies:
Residual or recurrent tumors after surgery – For gliomas that cannot be completely removed due to their location, or for recurrent tumors where re-operation carries high risks, CyberKnife can precisely target residual lesions, delay recurrence, and spare patients from repeat surgery.
Inoperable primary tumors – For gliomas located in "no-go zones" such as the brainstem or thalamus, or in patients unfit for surgery, CyberKnife can be considered as a first-line option. It controls tumor growth while maximizing preservation of neurological function and maintaining quality of life.
Adjuvant therapy – As a complement to conventional radiotherapy, CyberKnife can deliver “boost doses” to the tumor bed, enhancing local control, reducing recurrence risk, and limiting unnecessary whole-brain radiation exposure.
Case Study
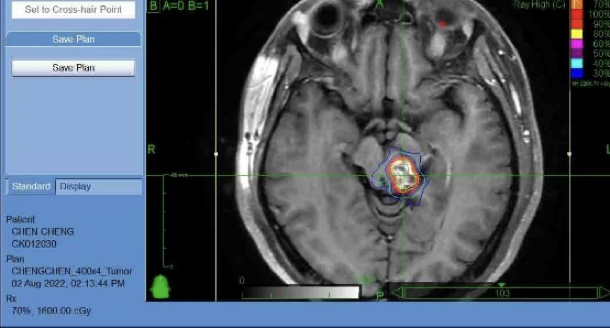
A female patient presented with a brainstem glioma, experiencing two months of weakness while walking and numbness in her right limbs. MRI revealed a tumor in the left brainstem, and pathology confirmed a brainstem glioma.
Dr. Wang Enmin developed a treatment plan combining CyberKnife with conventional radiotherapy for this challenging case. He explained: “We used five sessions of CyberKnife radiosurgery followed by 12–15 sessions of conventional radiotherapy. The goal was to escalate the dose inside the tumor using CyberKnife, while conventional radiotherapy covered potential tumor cells beyond the visible boundary.”
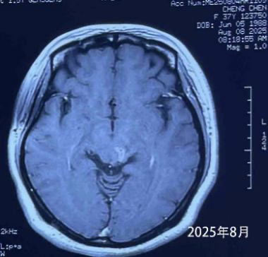
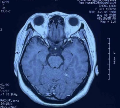
More than four years later, the patient remains in excellent condition, leading a normal life and working without restrictions. Dr. Wang emphasized the importance of regular MRI follow-ups. If small recurrences are detected, timely CyberKnife treatment can control progression. At her latest MRI check in August, the tumor had significantly shrunk.







The ultimate goal in treating gliomas is not only to control tumor growth but also to preserve neurological function. Traditional treatments, constrained by limited precision, often leave patients with cognitive decline or motor deficits—dramatically reducing quality of life.
CyberKnife changes this paradigm. By delivering radiation with surgical accuracy, it targets tumors while sparing normal neural tissue. This allows patients to retain language, motor, and cognitive functions, increasing the likelihood of returning to normal daily life.
It is important to note that CyberKnife is not a replacement for surgery, chemotherapy, or conventional radiotherapy. Instead, it is most effective when integrated into a multidisciplinary treatment (MDT) approach—such as "surgery + CyberKnife + chemotherapy". Individualized treatment planning and close post-treatment follow-up remain essential to monitor tumor progression and neurological outcomes.
Glioma treatment has long been constrained by the tension between "precision and safety". The introduction of CyberKnife radiosurgery, with its groundbreaking accuracy and minimally invasive nature, has broken through this barrier. It not only provides an effective ablative option for intracranial tumors but also places preservation of neurological function at the center of therapy—allowing patients to fight cancer without sacrificing their quality of life.